Hier bekommst Du Dein Lächeln wieder!
Du möchtest endlich wieder richtig strahlen?
Dann bist du hier genau richtig!
Wir helfen dir dabei endlich wieder ein schönes Lächeln zu bekommen.
„Wieder Strahlen“ – Ihr Weg zu gesunden und strahlenden Zähnen
Überschrift: Warum „Wieder Strahlen“?
Erhalten Sie individuelle Angebote für Zahnbehandlungen
Vergleichen Sie Preise und Leistungen von zertifizierten Zahnärzten
Sparen Sie Zeit und Geld durch die bequeme Online-Einreichung Ihrer Daten und Fotos
Überschrift: So funktioniert’s
Registrieren Sie sich kostenlos auf unserer Website
Laden Sie Fotos Ihrer Zähne hoch und füllen Sie unser Online-Formular aus
Innerhalb von 24 Stunden erhalten Sie Angebote von zertifizierten Zahnärzten in Ihrer Nähe
Vergleichen Sie die Angebote und wählen Sie den Zahnarzt aus, der am besten zu Ihren Bedürfnissen und Wünschen passt
Überschrift: Warum sollten Sie uns wählen?
Zugang zu einer großen Auswahl an zertifizierten Zahnärzten
Transparente Vergleichsmöglichkeiten von Preisen und Leistungen
Bequeme und schnelle Online-Abwicklung
Sichere und vertrauliche Datenübertragung
Unterstützung durch unser erfahrenes Team bei Fragen oder Problemen
Überschrift: Los geht’s!
Registrieren Sie sich jetzt kostenlos auf unserer Website und starten Sie auf dem Weg zu gesunden und strahlenden Zähnen.
Wir unterstützen Sie dabei, den besten Zahnarzt für Ihre Bedürfnisse zu finden und Ihnen das beste Angebot zu machen.
Lassen Sie uns gemeinsam dafür sorgen, dass Ihre Zähne wieder strahlen!
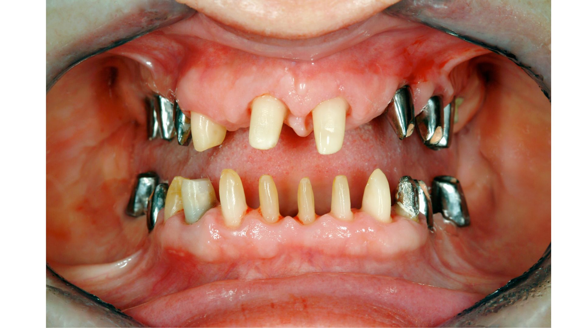
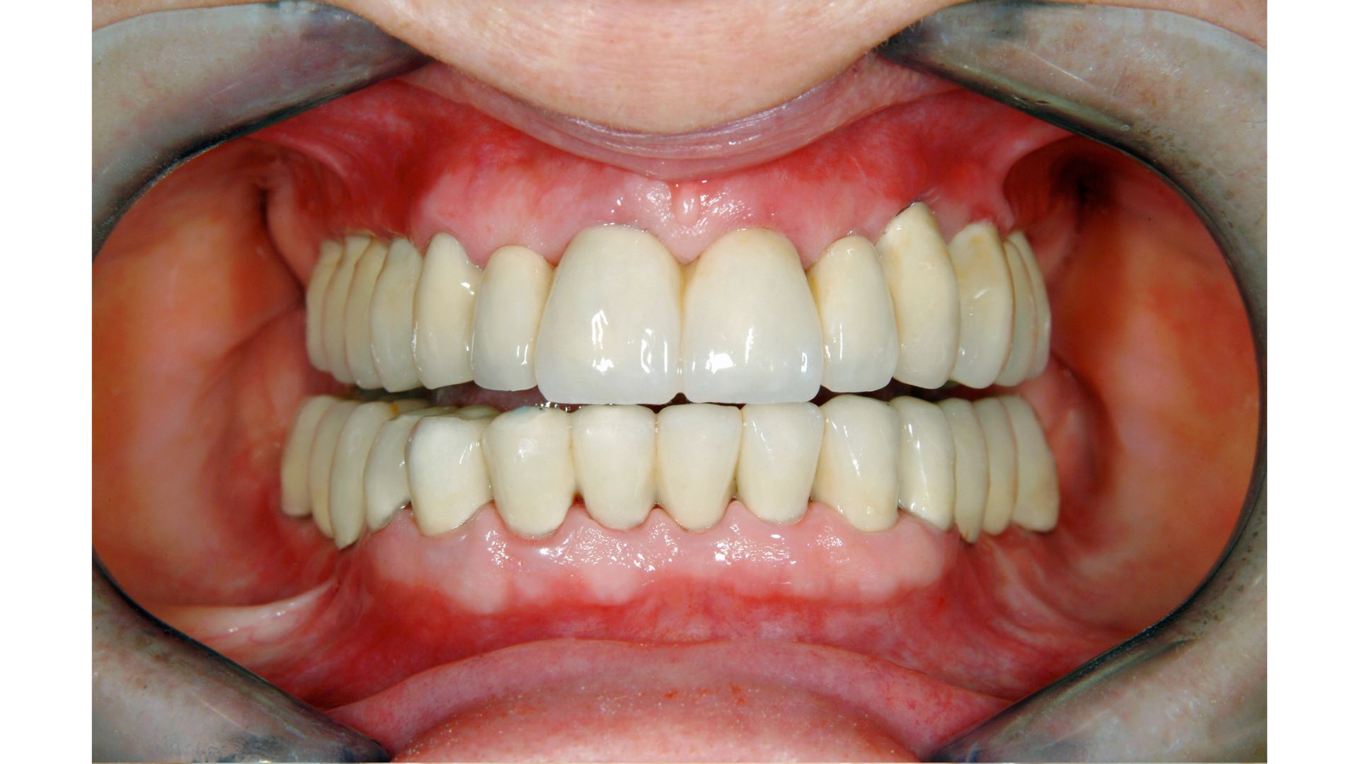
Günstige Preise für Zahnersatz und feste Zähne

Die Europäische Zahnklinik für „Sofort feste Zähne“ bietet Ihnen einzigartige Leistungen in Bezug auf Implantologie und Zahnheilkunde. Durch den Einsatz moderner Technologien und hochwertiger Materialien erhalten Sie einen Zahnersatz, der sich durch Qualität, Tragekomfort und Ästhetik auszeichnet. Was uns besonders auszeichnet: Unsere Preise sind unübertroffen günstig im Vergleich zu anderen Anbietern weltweit. Unsere erfahrenen und hochqualifizierten Spezialisten sind bestens dafür gerüstet, Ihnen das bestmögliche Ergebnis zu liefern.
| vorher | nachher |
|---|---|
![]() | ![]() |
![]() | ![]() |
![]() | ![]() |





